デンタルバイオビジョンでは、審美歯科における歯科技工物として、ポーセレンラミネートべニア、ジルコニアオールセラミック、プレスセラミック、メタルセラミックなどの素材を用いた審美性の高い審美補綴を提供しております。

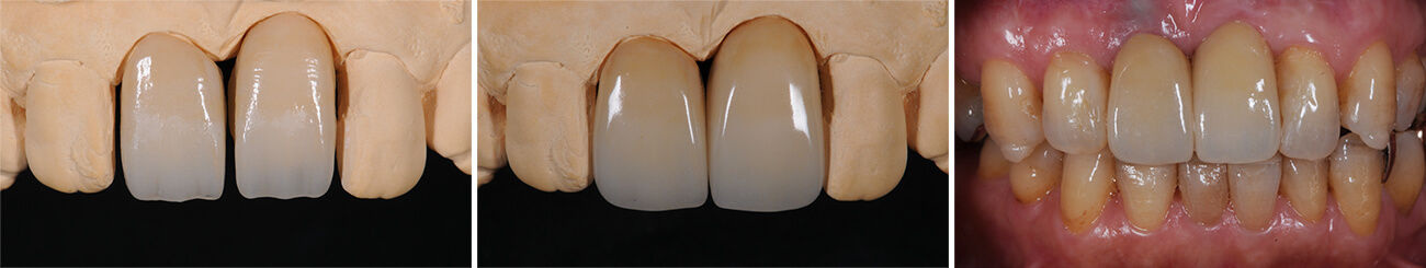
Zirconia All Ceramic Crowns ジルコニアオールセラミッククラウン

ジルコニアオールセラミッククラウン

要求度の高い前歯部ではジルコニアフレームにポーセレンを築盛することで、メタルフリーで色調再現性の高いオールセラミック修復が可能です。

MOER DETAIL

Screw Retain Zirconia Ceramic スクリューリテインジルコニア(レイヤリング)

スクリューリテインジルコニア(レイヤリング)

前歯部インプラント補綴においても、インプラントとの接合部のみをメタルパーツを用いることで強度と適合を確保し、
サブジンジバルからジルコニアフレームとポーセレン築盛仕上げすることで審美的な上部構造を製作できます。

MOER DETAIL

Press Ceramic Crowns(Stained Technique) プレスクラウン(ステイニング)

プレスクラウン(ステイニング)

透過性の高いプレス材を用いることで、ステイニングのみでも高い審美性を再現できます。

MOER DETAIL

Press Ceramic Crowns(Layered Technique) プレスクラウン(レイヤリング)

プレスクラウン(レイヤリング)

プレス材でより高い色調再現を満たす場合は一層のレイヤリングを施すともできます。