Advantage
当社の強み
Products
取扱技工物
IOS
口腔内スキャナー
Intraoral scanner
口腔内スキャナー
Comparison of IOS
口腔内スキャナー比較
Implant simulation
インプラント
シミュレーション
Column
口腔内スキャナーコラム
Cases
症例紹介
Case
症例紹介
Case videos
症例動画
Laboratory
ラボ案内
Laboratory
ラボ案内
Recruit
リクルート
Staff
スタッフ紹介
Staff
スタッフ紹介
Recruit
リクルート
FAQ
よくある質問
Contact
お問合せ
06-6398-5556
Ja
/
En
Intraoral scanner
口腔内スキャナー
Comparison of IOS
口腔内スキャナー比較
Implant simulation
インプラント
シミュレーション
Column
口腔内スキャナーコラム
Case
症例紹介
Case videos
症例動画
Laboratory
ラボ案内
Recruit
リクルート
Staff
スタッフ紹介
Recruit
リクルート
症例紹介
Intra Oral Scanner
Cases
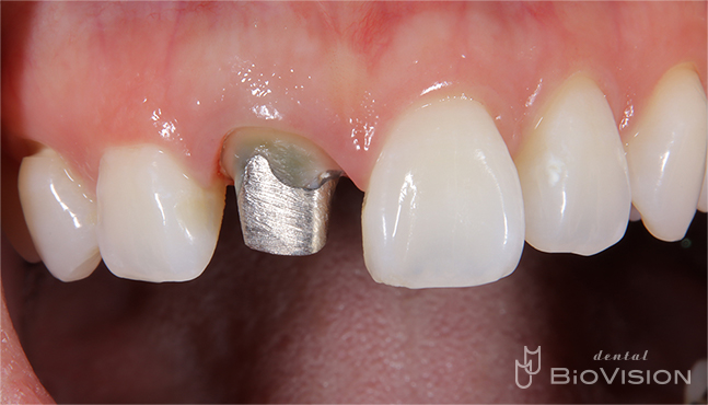
Maxillary single crown full zirconia From iTero
上顎右側中切歯をフルジルコニアクラウンで補綴した症例。iTeroのデータで設計し、モデルレスで完成させた。
メタルコアだったので可能な限りクラウンにシャドウさせないよう配慮した。
BACK to LIST
Dental Bio Vision:Home
Cases
Maxillary single crown full zirconia From iTero