Advantage
当社の強み
Products
取扱技工物
IOS
口腔内スキャナー
Intraoral scanner
口腔内スキャナー
Comparison of IOS
口腔内スキャナー比較
Implant simulation
インプラント
シミュレーション
Column
口腔内スキャナーコラム
Cases
症例紹介
Case
症例紹介
Case videos
症例動画
Laboratory
ラボ案内
Laboratory
ラボ案内
Recruit
リクルート
Staff
スタッフ紹介
Staff
スタッフ紹介
Recruit
リクルート
FAQ
よくある質問
Contact
お問合せ
06-6398-5556
Ja
/
En
Intraoral scanner
口腔内スキャナー
Comparison of IOS
口腔内スキャナー比較
Implant simulation
インプラント
シミュレーション
Column
口腔内スキャナーコラム
Case
症例紹介
Case videos
症例動画
Laboratory
ラボ案内
Recruit
リクルート
Staff
スタッフ紹介
Recruit
リクルート
症例紹介
Intra Oral Scanner
Cases
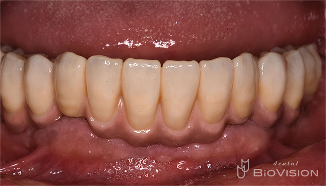
Mandibular screw retain full arch monolithic zirconia superstructure
下顎4本インプラントに対して、6~6までをワンピースでスクリューリテインフルジルコニアBr設計とし、
歯肉色を付与した上部構造をインデックスモデルのみのモデルレスで完成させた症例。
BACK to LIST
Dental Bio Vision:Home
Cases
Mandibular screw retain full arch monolithic zirconia superstructure